Lompat ke konten Lompat ke sidebar Lompat ke footer

Chronic Disseminated Langerhans Cell Disease

Pdf Oral Manifestations Of Chronic Disseminated Langerhans Cell Histiocytosis A Case Report Semantic Scholar

Pdf Oral Manifestations Of Chronic Disseminated Langerhans Cell Histiocytosis A Case Report Semantic Scholar

Chronic disseminated langerhans cell disease. Hand-Schuller-Christian disease is characterized by widespread skeletal and extra skeletal lesions and a chronic clinical course. The clinical presentation of Langerhans cell histiocytosis LCH depends on the extent of dissemination. Moghadam et al 1991.

Langerhans cell histiocytosis LCH previously known as histiocytosis X is a rare disease of unknown ethiology characterized by intense and abnormal proliferation of bone marrow-derived histiocytes Langerhans cells. Langerhans cells which help regulate the immune system are normally found throughout the body especially in the skin lymph nodes spleen lungs liver and bone marrow. Chronic disseminated Langerhans cell disease A.

Chronic disseminated Langerhans cell disease is a malignant lesion. Capillaries Cardiovascular System Histiocytosis Langerhans-Cell Humans. Langerhans cell disease belongs to group 1 and encompasses a number of diseases 2.

Occurs only in adult life. Produces a solitary eosinophilic lesion. Chronic disseminated histiocytosis X Schüller-Christian disease with pulmonary involvement and impairment of alveolar-capillary diffusion.

RENZETTI AD Jr EASTMAN G AUCHINCLOSS JH Jr. Produces bony defects as focal areas of bony rarefaction. It can present both local and systemic manifestations involving bone skin and mucosal tissues and internal organs.

It occurs usually before the age of five but has been reported even in young adults. Langerhans cell histiocytosis LCH is a disorder that primarily affects children but is also found in adults of all ages. 13410973 PubMed - indexed for MEDLINE MeSH Terms.

HE staining at 400 showed Langerhans cells arrows and dense aggregates of inflammatory cells in superficial dermis comprising of histiocytes lymphocytes eosinophils and plasma cells - Severe Periodontal Disease Manifested in Chronic Disseminated Type of Langerhans Cell Histiocytosis in a. Langerhans cell histiocytosis describes a disorder of the reticuloendothelial system which is characterized by an abnormal proliferation of histiocytes and eosinophilic leukocytes Watanabe 1990.

Pdf Oral Manifestations Of Chronic Disseminated Langerhans Cell Histiocytosis A Case Report Semantic Scholar

Pdf Oral Manifestations Of Chronic Disseminated Langerhans Cell Histiocytosis A Case Report Semantic Scholar

2

2

Mandibular Manifestation Of Langerhans Cell Histiocytosis In Children Sciencedirect

Mandibular Manifestation Of Langerhans Cell Histiocytosis In Children Sciencedirect

Http Www Scienceopen Com Document File D98d0260 E4f3 4e0c A08a 0e851320c53c Pubmedcentral D98d0260 E4f3 4e0c A08a 0e851320c53c Pdf

Http Www Scienceopen Com Document File D98d0260 E4f3 4e0c A08a 0e851320c53c Pubmedcentral D98d0260 E4f3 4e0c A08a 0e851320c53c Pdf

Langerhans Cell Histiocytosis A Challenge For The Dental Professional Bansal S Garg A Khurana R J Cutan Aesthet Surg

Langerhans Cell Histiocytosis A Challenge For The Dental Professional Bansal S Garg A Khurana R J Cutan Aesthet Surg

Langerhans Cell Histiocytosis In An Adult With Oral Cavity Involvement Posing A Diagnostic Challenge Nangalia R Chatterjee Rp Kundu S Pal M Contemp Clin Dent

Langerhans Cell Histiocytosis In An Adult With Oral Cavity Involvement Posing A Diagnostic Challenge Nangalia R Chatterjee Rp Kundu S Pal M Contemp Clin Dent

Langerhans Cell Histiocytosis A Diagnostic Challenge In The Oral Cavity Abstract Europe Pmc

Langerhans Cell Histiocytosis A Diagnostic Challenge In The Oral Cavity Abstract Europe Pmc

Unrecognized Oral Manifestations Of Langerhans Cell Histiocytosis Which Progressed To Systemic Disease Sciencedirect

Unrecognized Oral Manifestations Of Langerhans Cell Histiocytosis Which Progressed To Systemic Disease Sciencedirect

Periodontal Desease And Langerhans Cells Histiocytosis Case Report

Periodontal Desease And Langerhans Cells Histiocytosis Case Report

An Unusual Presentation Of Langerhans Cell Histiocytosis Agarwal P Kaushal M J Cytol

An Unusual Presentation Of Langerhans Cell Histiocytosis Agarwal P Kaushal M J Cytol

Unrecognized Oral Manifestations Of Langerhans Cell Histiocytosis Which Progressed To Systemic Disease Sciencedirect

Unrecognized Oral Manifestations Of Langerhans Cell Histiocytosis Which Progressed To Systemic Disease Sciencedirect

Oral Maxillofacial Pathology Bone Pathology 2

Oral Maxillofacial Pathology Bone Pathology 2

Periodontal Desease And Langerhans Cells Histiocytosis Case Report

Periodontal Desease And Langerhans Cells Histiocytosis Case Report

Https Www Tandfonline Com Doi Pdf 10 5504 Bbeq 2012 0105

Https Www Tandfonline Com Doi Pdf 10 5504 Bbeq 2012 0105

Langerhans Cell Histiocytosis Pocket Dentistry

Langerhans Cell Histiocytosis Pocket Dentistry

A Rare And Unusual Case Report Of Langerhans Cell Histiocytosis Rao Dg Trivedi Mv Havale R Shrutha S P J Oral Maxillofac Pathol

A Rare And Unusual Case Report Of Langerhans Cell Histiocytosis Rao Dg Trivedi Mv Havale R Shrutha S P J Oral Maxillofac Pathol

Langerhans Cell Histiocytosis A Challenge For The Dental Professional Bansal S Garg A Khurana R J Cutan Aesthet Surg

Langerhans Cell Histiocytosis A Challenge For The Dental Professional Bansal S Garg A Khurana R J Cutan Aesthet Surg

Pdf Clinicopathological And Immunohistochemical Study Of Head And Neck Langerhans Cell Histiocytosis From Latin America

Pdf Clinicopathological And Immunohistochemical Study Of Head And Neck Langerhans Cell Histiocytosis From Latin America

Langerhans Cell Histiocytosis A Diagnostic Challenge In The Oral Cavity

Langerhans Cell Histiocytosis A Diagnostic Challenge In The Oral Cavity

Pdf Oral Manifestations Of Chronic Disseminated Langerhans Cell Histiocytosis A Case Report Semantic Scholar

Pdf Oral Manifestations Of Chronic Disseminated Langerhans Cell Histiocytosis A Case Report Semantic Scholar

Treatment Of Localized Langerhans Cell Histiocytosis Of The Mandible With Intralesional Steroid Injection Report Of A Case Sciencedirect

Treatment Of Localized Langerhans Cell Histiocytosis Of The Mandible With Intralesional Steroid Injection Report Of A Case Sciencedirect

Langerhans Cell Histiocytosis In An Adult British Journal Of Oral And Maxillofacial Surgery

Langerhans Cell Histiocytosis In An Adult British Journal Of Oral And Maxillofacial Surgery

Treatment Of Localized Langerhans Cell Histiocytosis Of The Mandible With Intralesional Steroid Injection Report Of A Case Sciencedirect

Treatment Of Localized Langerhans Cell Histiocytosis Of The Mandible With Intralesional Steroid Injection Report Of A Case Sciencedirect

1

1

Children Free Full Text Primary Oro Facial Manifestations Of Langerhans Cell Histiocytosis In Pediatric Age A Bi Institutional Retrospective Study On 45 Cases Html

Children Free Full Text Primary Oro Facial Manifestations Of Langerhans Cell Histiocytosis In Pediatric Age A Bi Institutional Retrospective Study On 45 Cases Html

Langerhans Cell Histiocytosis Current Concepts In Dentistry And Case Report Abstract Europe Pmc

Langerhans Cell Histiocytosis Current Concepts In Dentistry And Case Report Abstract Europe Pmc

Figure 23 19 From Clinical Pathology Odontogenic And Nonodontogenic Tumors Of The Jaws Semantic Scholar

Figure 23 19 From Clinical Pathology Odontogenic And Nonodontogenic Tumors Of The Jaws Semantic Scholar

Langerhans Cell Histiocytosis Pocket Dentistry

Langerhans Cell Histiocytosis Pocket Dentistry

Langerhans Cell Histiocytosis Springerlink

Langerhans Cell Histiocytosis Springerlink

Clinicopathological And Immunohistochemical Study Of Head And Neck Langerhans Cell Histiocytosis From Latin America Abstract Europe Pmc

Clinicopathological And Immunohistochemical Study Of Head And Neck Langerhans Cell Histiocytosis From Latin America Abstract Europe Pmc

Eosinophilic Granuloma Of The Femur Radiology Case Radiopaedia Org

Eosinophilic Granuloma Of The Femur Radiology Case Radiopaedia Org

Scielo Brasil Histiocytosis A Review Focusing On Neuroimaging Findings Histiocytosis A Review Focusing On Neuroimaging Findings

Scielo Brasil Histiocytosis A Review Focusing On Neuroimaging Findings Histiocytosis A Review Focusing On Neuroimaging Findings

Langerhans Cell Histiocytosis A Diagnostic Challenge In The Oral Cavity Abstract Europe Pmc

Langerhans Cell Histiocytosis A Diagnostic Challenge In The Oral Cavity Abstract Europe Pmc

Langerhans Cell Histiocytosis Mimicking Periapical Pathology In A 39 Year Old Man Journal Of Endodontics

Langerhans Cell Histiocytosis Mimicking Periapical Pathology In A 39 Year Old Man Journal Of Endodontics

Metabolic Disturbances 1

Metabolic Disturbances 1

Langerhans Cell Histiocytosis Restricted To The Oral Mucosa Oral Surgery Oral Medicine Oral Pathology Oral Radiology And Endodontics

Langerhans Cell Histiocytosis Restricted To The Oral Mucosa Oral Surgery Oral Medicine Oral Pathology Oral Radiology And Endodontics

Cone Beam Ct Study Of A Case Of Eosinophilic Granuloma Of The Mandible In A Young Patient Bmj Case Reports

Cone Beam Ct Study Of A Case Of Eosinophilic Granuloma Of The Mandible In A Young Patient Bmj Case Reports

Figure 2 From Langerhans Cell Histiocytosis Literature Review And Descriptive Analysis Of Oral Manifestations Semantic Scholar

Figure 2 From Langerhans Cell Histiocytosis Literature Review And Descriptive Analysis Of Oral Manifestations Semantic Scholar

A Rare Case Report Of Langerhans Cell Histiocytosis Hand Schuller Christian Disease And Review Of Literature

A Rare Case Report Of Langerhans Cell Histiocytosis Hand Schuller Christian Disease And Review Of Literature

Oral Manifestations Of Langerhans Cell Histiocytosis A Case Series Neves Silva 2018 Special Care In Dentistry Wiley Online Library

Oral Manifestations Of Langerhans Cell Histiocytosis A Case Series Neves Silva 2018 Special Care In Dentistry Wiley Online Library

Langerhans Cell Histiocytosis In The Occipital Condyle A Case Study And A Brief Review Of The Literature Bmj Case Reports

Langerhans Cell Histiocytosis In The Occipital Condyle A Case Study And A Brief Review Of The Literature Bmj Case Reports

Langerhans Cell Histiocytosis All Variants Hashimoto Pritzker Disease Congenital Self Healing Reticulohistiocytosis Hand Scholler Christian Disease Letterer Siwe Syndrome Eosinophilic Granuloma Dermatology Advisor

Langerhans Cell Histiocytosis All Variants Hashimoto Pritzker Disease Congenital Self Healing Reticulohistiocytosis Hand Scholler Christian Disease Letterer Siwe Syndrome Eosinophilic Granuloma Dermatology Advisor

More Than Just Langerhans Cell Histiocytosis A Radiologic Review Of Histiocytic Disorders Radiographics

More Than Just Langerhans Cell Histiocytosis A Radiologic Review Of Histiocytic Disorders Radiographics

Langerhans Cell Histiocytosis A Diagnostic Enigma In The Oral Cavity Cherian Lm Sasikumar D Sathyan P Varghese Be J Oral Maxillofac Pathol

Langerhans Cell Histiocytosis A Diagnostic Enigma In The Oral Cavity Cherian Lm Sasikumar D Sathyan P Varghese Be J Oral Maxillofac Pathol

Langerhans Cell Histiocytosis Ppt Video Online Download

Langerhans Cell Histiocytosis Ppt Video Online Download

Pdf Langerhans Cell Histiocytosis Pathology Imaging And Treatment Of Skeletal Involvement

Pdf Langerhans Cell Histiocytosis Pathology Imaging And Treatment Of Skeletal Involvement

Oral Maxillofacial Pathology Bone Pathology 2

Oral Maxillofacial Pathology Bone Pathology 2

Severe Bone Involvement With Langerhans Cell Histiocytosis The Journal Of Pediatrics

Severe Bone Involvement With Langerhans Cell Histiocytosis The Journal Of Pediatrics

1

1

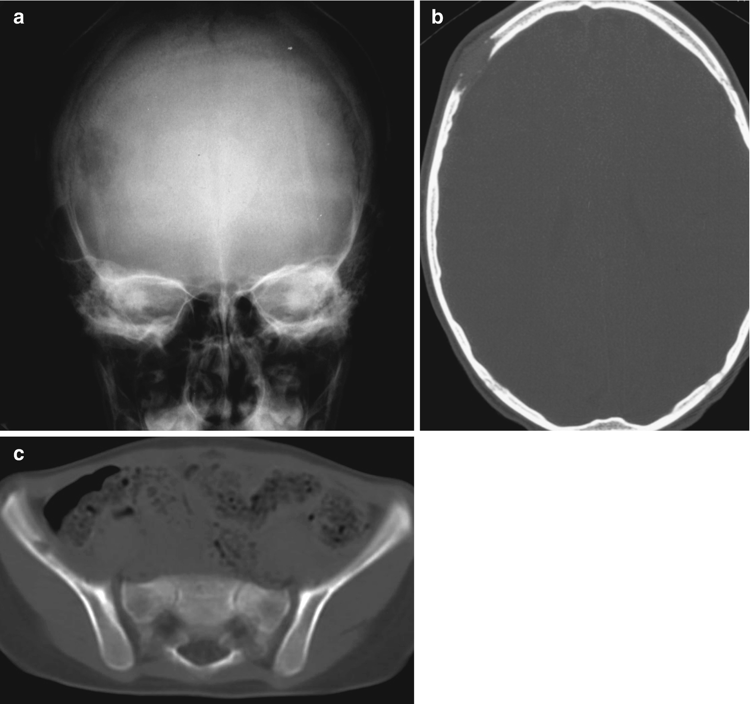
Langerhans cell histiocytosis a chronic disseminated forms ie.

In people with LCH these cells multiply excessively and. RENZETTI AD Jr EASTMAN G AUCHINCLOSS JH Jr. Capillaries Cardiovascular System Histiocytosis Langerhans-Cell Humans. Unifocal bony LCH is characterized by the development of solitary osseous lesions at. Produces a solitary eosinophilic lesion. 13410973 PubMed - indexed for MEDLINE MeSH Terms. Langerhans cell histiocytosis LCH is a rare disease of unknown pathogenesis characterized by intense and abnormal proliferation of bone marrow-derived histiocytes Langerhans cells. Chronic disseminated Langerhans cell disease A. Its more common in boys with a.


Langerhans cell histiocytosis a chronic disseminated forms ie. The clinical presentation of Langerhans cell histiocytosis LCH depends on the extent of dissemination. The clinical spectrum includes on one end an acute fulminant disseminated disease called Letterer-Siwe disease and on the other end solitary or few indolent chronic lesions of bone and other organs called Eosinophilic granuloma. It occurs usually before the age of five but has been reported even in young adults. Langerhans cell histiocytosis LCH is a disorder that primarily affects children but is also found in adults of all ages. Produces a solitary eosinophilic lesion. Langerhans cell histiocytosis describes a disorder of the reticuloendothelial system which is characterized by an abnormal proliferation of histiocytes and eosinophilic leukocytes Watanabe 1990.

Posting Komentar untuk "Chronic Disseminated Langerhans Cell Disease"